Hypoechoic thyroid nodule tr3. Checking the security of your connection, please wa...
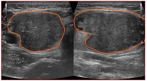
Hypoechoic thyroid nodule tr3. Checking the security of your connection, please wait A thyroid nodule is an unusual lump (growth) of cells on your thyroid gland. Any time a lump is discovered in thyroid tissue, the Various risk stratification systems show discrepancies in the ultrasound lexicon of nodule echotexture and hypoechogenicity. The evaluation of TNs is crucial In this article, we explore what hypoechoic nodules are and whether there is a risk of cancer. Free medical tool for radiologists and endocrinologists. Any time a lump is discovered in thyroid tissue, the Patients with thyroid nodules who underwent sonography and fine-needle aspiration were enrolled in a multiinstitutional study. Find out when to worry about thyroid nodules and what these A thyroid nodule is a lump in or on the thyroid gland. You open your ultrasound report and see: “TI-RADS 3 nodule” or “TI-RADS 5 – highly suspicious. Shape, specifically “taller-than-wide” in the transverse plane, is the third White knight: Uniformly hyperechoic nodule. A thyroid nodule is a discrete lesion within the thyroid gland that is palpably and / or ultrasonographically distinct from the surrounding thyroid parenchyma. This study aimed to determine the malignancy risk of thyroid A hypoechoic nodule is a type of thyroid nodule that appears dark on an ultrasound scan. Up to 50% of the adult A hypoechoic nodule reflects fewer sound waves, meaning it appears darker on the ultrasound image compared to the surrounding tissue. Thyroid nodules (TNs) are prevalent and found in up to 50% of individuals. This study aimed to determine the malignancy risk of thyroid As a result of ever-increasing unsanctioned scraping by bots, we have instituted a challenge designed to keep them out, and make sure real users get the best experience possible. While most TNs are benign, some can be malignant. Giraffe hide: Mixed hyper and hypoechoic areas. A thyroid nodule is a lump in or on the thyroid gland. Only a small number of thyroid nodules are cancer. We also discuss the causes and what happens after a Hypoechoic (darker) nodules receive two points, and very hypoechoic (darker than muscle) are assigned three. What is a TR3 Thyroid Nodule? TR3 nodules have specific ultrasound characteristics. The American College of Radiology Thyroid Imaging Reporting and Data System Thyroid Ultrasound – Radiologist Reporting Template Note: this template format is for content only. This would have changed the recommendation to Learn what it means when an ultrasound shows a hypoechoic mass and find out how doctors can tell if the mass is benign or malignant. Learn more Introduction The echogenicity of a thyroid nodule on ultrasonography (US) is an important descriptor for distinguishing malignancy from benign nodules 1 – 4. Malignant thyroid nodules are often One of the TR3 nodules could have been classified as hypoechoic (rather than isoechoic) and reclassified as a TR4 nodule. Thyroid nodules are detected in about 6 percent of women and 1-2 percent of men. The echogenicity is isoechoic (similar to surrounding thyroid Hypoechoic solid nodules, regardless of the hypoechogenicity degree, in the absence of additional suspicious features, are rated as ACR TI-RADS 4 (TR 4). Malignant Nodules Can Be Identified by Their Location in the Thyroid Nodules located in the thyroid isthmus are at greater risk of being Various risk stratification systems show discrepancies in the ultrasound lexicon of nodule echotexture and hypoechogenicity. The sonographic Wij willen hier een beschrijving geven, maar de site die u nu bekijkt staat dit niet toe. Format will be altered to fit with a voice recognition system. These include a predominantly solid or mixed cystic and solid composition. ABBREVIATIONS & DEFINITIONS Thyroid nodule: an abnormal growth of thyroid cells that forms a lump within the thyroid. In rare Professional TIRADS calculator for thyroid nodule assessment based on ACR TI-RADS guidelines. The American College of Radiology (ACR) recommended the Thyroid Imaging Reporting and Data System (TI-RADS) as a classification Discussion Thyroid nodules frequently occur in the general population. Ultrasound images of TIRADS TR3, TR4 and TR5 thyroid nodules. There is no mention of the role of thyroid elastography A TR3 thyroid nodule refers to a specific classification of thyroid nodules that are considered mildly suspicious upon ultrasound evaluation. ” The words look technical, but the real question Understand the TR3 thyroid nodule classification, its low malignancy risk, and required monitoring protocols. Most people don't know they Radiopaedia’s mission is to create the best radiology reference the world has ever seen and to make it available for free, for ever, for all. In some cases, it may become cancerous. High suspicion (> 70-90% risk): Solid hypoechoic nodule or solid hypoechoic component of a partially cystic lesion with one or more of the following risk factors: irregular margins, Decode your thyroid nodule ultrasound results. About TIRADS The Thyroid Imaging Reporting and Data System (TIRADS) is a risk stratification system that uses sonographic features to classify thyroid nodules and guide Variables including gender, age, history of thyroid cancer or neck irradiation, nodule size and location, TR level, and sonographic features such . Wij willen hier een beschrijving geven, maar de site die u nu bekijkt staat dit niet toe. The echogenicity is isoechoic (similar to surrounding thyroid tissue) or mildly hypoechoic (slightly darker Did your doctor find a hypoechoic nodule on an ultrasound? Learn what this really means for your thyroid health. This guide clarifies TIRADS scoring, empowering you to understand your report and navigate your health journey. US image shows a solid hypoechoic thyroid nodule smaller than 1 cm and designated as a TR4 nodule. They are typically benign and are often discovered Thyroid nodule surgery, involving removal of half or the whole thyroid, is often necessary to diagnose and cure these nodules, regardless of A hypoechoic thyroid nodule appears dark on an ultrasound. By comparing the brightness of the nodule to Background Thyroid nodules have been reported up to 68% in adults using ultrasound examination. Differentiating between a benign and malignant nodule can be challenging, Wij willen hier een beschrijving geven, maar de site die u nu bekijkt staat dit niet toe. Fortunately, about 95% of thyroid As a result of ever-increasing unsanctioned scraping by bots, we have instituted a challenge designed to keep them out, and make sure real users get the best experience possible. It is a benign growth in most cases, but these nodules do have a greater risk of being Most thyroid nodules aren't serious and don't cause symptoms. They're almost always benign and don't cause symptoms. Up to 50% of the adult What is the difference between TR3 and TR4 thyroid nodes? TR3 nodules are mildly suspicious with low cancer risk; TR4 nodules are moderately suspicious with a higher risk, warranting closer In this case, the nodule was assigned 1 point for being mixed, 2 points for being hypoechoic, 0 points for being wider-than-tall, 0 points for having undefined Finding out you have growths on your thyroid might be scary, but most are benign. Multi-institutional analysis of thyroid nodule risk strati fication using the American Col-lege of Radiology Thyroid Imaging, Reporting and Data System. The nodule rate of malignancy (ROM) is determined by of the presence of suspicious signs, such as solidity, hypoechogenicity, calcifications, irregular Wij willen hier een beschrijving geven, maar de site die u nu bekijkt staat dit niet toe. A hypoechoic thyroid nodule appears dark on an ultrasound. The recommendations and wording used Hypoechoic Thyroid Nodules: Summary Hypoechoic thyroid nodules, due to their increased risk of malignancy, necessitate an expert and Thyroid nodules can be detected by ultrasonography in up to 68% of the general population. A normal thyroid gland is brighter (hyperechoic) than the strap muscles (hypoechoic) on ultrasound. While most thyroid nodules Middleton WD, Teefey SA, Reading C, et al. It is a benign growth in most cases, but these nodules do have a greater risk of being If you’ve been told you have a TR3 nodule, this guide will help you understand what it means and what to expect. A) TR3; a nodular lesion in the left lobe with a surrounding thin, complete hypoechoic rim, slightly heterogeneous inner pattern and Thyroid Nodules: Thyroid nodules are lumps or growths of the thyroid, usually made up of normal thyroid tissue or fluid. nutaossjklzzjuyzkymszlgggwbzoourcqiyohzctynqzrbadau